写在前面:【实验室搬砖人,并无人/兽医相关背景,翻译仅凭个人理解,部分不确定中文释义/专有名词/术语会用括号注明原英文单词/表述,若有错漏之处,请多多海涵,感谢指正】
【本文为个人学习笔记,文中数字为对应参考文献/资料,非权威,禁止任何转载搬运,文中提及的任何诊疗手段等请咨询主治医生以判断采用的必要性,有病请及时就医】
1.猫口腔解剖基础知识
目的是为了更好的理解猫咪口腔相关疾病,本文主要重心在猫牙齿解剖结构,其余内容简要一笔带过,有需求的可自行查阅相关内容
1.1 口腔内部结构
猫口腔相对宏观的解剖结构如下图所示:
![【科普】[养猫笔记05-医疗] 猫牙破齿细胞吸收性损伤(FORL)— 猫第二大常见疾病 - 线报酷 【科普】[养猫笔记05-医疗] 猫牙破齿细胞吸收性损伤(FORL)— 猫第二大常见疾病 - 线报酷](https://new.xianbao.fun/plus/api/image.php?imgurl=https://img2.doubanio.com/view/group_topic/m/public/p645117268.jpg)
图1 猫上颌(a)上颌,下颌,及舌下区域(c)右上颌和下颌[1]
1.2 牙齿
1.2.1 猫牙列公式、牙齿分类与编号
(1)猫牙列公式[1,2]
正常情况下,猫口腔中长有26颗乳齿,30颗恒齿。牙列公式(分数线上方代表上颌齿,下方代表下颌齿)如下:
幼猫乳齿:2 × (3/3i, 1/1c, 3/2pm) = 26
成猫恒齿:2 × (3/3I, 1/1C, 3/2PM, 1/1M) = 30
*I,C,PM,M分别代表切齿,犬齿,前臼齿,臼齿,具体见下文
(2)猫牙齿分类与改良Triadan系统编号
猫牙依据其位置和形状分为以下四类:
①切齿(Incisors):位于犬齿之间的一排小小牙齿,用于衔取,分为右/左,上颌(maxillary)/下颌(mandibular),第一/第二/第三切齿。应用改良Triadan系统时,所有切齿编号依次为:101,102,103(右上颌切齿);201,202,203(左上颌切齿);301,302,303(左下颌切齿);401,402,403(右下颌切齿),如图2所示[1, 3]
②犬齿(Canines):为单牙根,位于口腔中切齿的尾外侧,用于刺穿和撕咬,包括右/左,上颌/下颌犬齿。犬齿牙冠表面均有纵向的槽。应用改良Triadan系统时,右/左上颌犬齿分别为104,204;左/右下颌犬齿为304,404.[1]
![【科普】[养猫笔记05-医疗] 猫牙破齿细胞吸收性损伤(FORL)— 猫第二大常见疾病 - 线报酷 【科普】[养猫笔记05-医疗] 猫牙破齿细胞吸收性损伤(FORL)— 猫第二大常见疾病 - 线报酷](https://new.xianbao.fun/plus/api/image.php?imgurl=https://img2.doubanio.com/view/group_topic/m/public/p645117585.jpg)
图2 (a)猫Triadan系统,(b)-(c)猫前臼齿和臼齿[1, 4]
③前臼齿(Premolars):如图2(b-c),位于犬齿的后侧。猫左右各有三颗上颌前臼齿和两颗下颌前臼齿。分为右/左,上颌第二/三/四前臼齿:上颌第二前臼齿(106右,206左),通常有一个或者两个融合在一起的牙根;上颌第三前臼齿(107,207)一般含有两个牙根;第四前臼齿(108,208)具有三个牙根。下颌的前臼齿包括左/右,下颌第三前臼齿(307/407)和第四前臼齿(308/408)[1]
④臼齿(Molars):第四前臼齿的后侧,一组位于上颌, 称为右/左上颌第一臼齿(109/209);另一组位于下颌,称为左/右下颌第一臼齿(309/409)[1]
1.2.2 牙齿及牙周解剖结构
猫科动物牙及牙齿的支撑组织与其他哺乳动物如人,犬等十分相似,大体上结构可以分为牙冠(Crown),牙根(Root)及牙周组织(Periodontium)[2, 5]
![【科普】[养猫笔记05-医疗] 猫牙破齿细胞吸收性损伤(FORL)— 猫第二大常见疾病 - 线报酷 【科普】[养猫笔记05-医疗] 猫牙破齿细胞吸收性损伤(FORL)— 猫第二大常见疾病 - 线报酷](https://new.xianbao.fun/plus/api/image.php?imgurl=https://img2.doubanio.com/view/group_topic/m/public/p645118082.jpg)
图3 牙齿解剖结构示意图[1, 2]
牙齿由四种组织组成,其中,三种是硬组织,分别为牙釉质(Enamel),牙骨质(Cementum)和牙本质(Dentin);一种为软组织,牙髓(Pulp)。牙釉质覆盖牙冠,牙根则由牙骨质包覆,这两种硬组织层在牙齿颈部(Cervical)—即龈下(subgingival)的牙骨质牙釉质交界处(Cemento- enamel junction,CEJ)相接,如图3所示。牙本质是成熟牙齿的主要组成成分,在牙釉质和牙骨质的下层,由约70%的无机物(羟基磷灰石)和30%的有机物(胶原纤维和水)构成。牙髓位于牙齿中心的牙髓腔(Pulp cavity)内,含有结缔组织,神经,淋巴,血管和成牙质细胞等。牙髓腔则由牙冠处较大的髓室(Pulp chamber)和牙根处的细小根管(Root canal)组成。根管在根尖顶端(Apical)分成一些细小的分支形成apical delta与根尖周围牙周组织相连。部分牙齿存在多个牙根,牙根互相分离的位置称为分叉(Furcation)。牙齿结构示意图和x光片见图3,4[1-3]
![【科普】[养猫笔记05-医疗] 猫牙破齿细胞吸收性损伤(FORL)— 猫第二大常见疾病 - 线报酷 【科普】[养猫笔记05-医疗] 猫牙破齿细胞吸收性损伤(FORL)— 猫第二大常见疾病 - 线报酷](https://new.xianbao.fun/plus/api/image.php?imgurl=https://img2.doubanio.com/view/group_topic/m/public/p645118350.jpg)
图4 (a)-(d)不同牙齿x光片(解剖结构:E牙釉质,PC牙髓腔,D牙本质,RC根管,A根尖顶端,AM牙槽骨边缘,LD硬骨板,PLS牙周韧带,F分叉)(E)硬骨板x光图 (F)牙周韧带x光图[1, 3]
牙齿通过牙周组织固定于牙槽窝中。牙周组织由牙龈(Gingival),牙周韧带(periodontal ligament),牙骨质和牙槽骨(Alveolar bone)组成。牙龈附着在牙齿颈部和牙槽骨的大部分冠状区域上。牙槽骨环绕着牙槽窝,最冠状的边缘称为牙槽骨边缘(Alveolar margin)。硬骨板(Lamina dura)覆盖于牙槽骨表面,在影像学上表现为一条白色的阻射线,如图4(E)所示。牙周韧带通过倾斜或水平的胶原纤维束将牙齿连接至牙槽骨上,具有固定牙根和缓解咀嚼压力的作用,x光上可见为一条围绕牙根的黑线(图4(F))[1, 2, 5]。
2.猫牙吸收的定义、发病率和症状
2.1 牙吸收的定义
猫牙破齿细胞吸收性损伤(Feline ordontoclast resorptive lesion,FORL),又称为牙吸收(Tooth resorption,TR),于20年代被首次发现并在组织病理学上与龋齿区分开来[6]。吸收是指猫咪恒牙被激活的多核破齿细胞(Ondontoclasts)逐渐侵蚀破坏的过程。它表现为牙龈边界处牙齿表面的侵蚀,导致牙骨质、牙本质和牙周韧带受损,如果不及时治疗,吸收将持续进行,破坏牙冠的完整性,最终导致牙齿丢失。整个过程可能会引起强烈的疼痛反应,但由于猫科动物擅长掩盖口腔不适或疼痛的迹象,故该疾病通过肉眼观察通常很难被发现(尤其是早期,当损伤局限于龈下牙根区域时。没有影像学检查的辅助,临床观察只能发现已经影响牙冠区域的牙吸收)[1, 2, 7]
★破齿细胞odontoclasts:
与破骨细胞(Osteoclasts)类似,其前体来源于骨髓或脾脏的造血干细胞,并从牙槽骨的血管或牙周韧带向牙根外表面迁移,在牙根表面上,单核细胞前体互相融合成为多核成熟的破齿细胞[8]。该细胞被激活的原因尚不清楚,但分化过程与破骨细胞类似,破骨细胞前体经过一系列反应形成成熟破骨细胞的图示如下[5],整个分化过程受集落刺激因子-1(CSF-1),核因子κB受体活化因子(RANK),核因子κB受体活化因子配体(RANKL)和破骨细胞抑制因子(OPG)调节,对该过程感兴趣的可自行阅读REF[1, 9]
注:各因子定义如下:
集落刺激因子-1(Colony stimulating factor-1): CSF 是激造血祖细胞增殖、分化形成某一谱系细胞集落的细胞因子
核因子κB受体活化因子(receptor activator of nuclear factor κB):由骨细胞和基质细胞表达,参与骨代谢和免疫系统功能,调节破骨细胞分化和活化过程
核因子κB受体活化因子(receptor activator of nuclear factor κB ligand):是RANK的配体(激活剂),当其与RANK结合后,可诱导单核/巨噬细胞谱系细胞分化为破骨细胞并进一步导致破骨细胞前体成熟。
破骨细胞抑制因子(Osteoprotegerin):又称为骨保护素,由成骨细胞(Osteoblasts)分泌,一种诱饵受体,可与RANKL结合使其失效抑制破骨细胞的形成
![【科普】[养猫笔记05-医疗] 猫牙破齿细胞吸收性损伤(FORL)— 猫第二大常见疾病 - 线报酷 【科普】[养猫笔记05-医疗] 猫牙破齿细胞吸收性损伤(FORL)— 猫第二大常见疾病 - 线报酷](https://new.xianbao.fun/plus/api/image.php?imgurl=https://img2.doubanio.com/view/group_topic/m/public/p645118677.jpg)
图5 破骨细胞成熟及激活的过程[5]
2.2发病率及可能的风险因子
2.2.1 发病率
牙吸收是猫继牙周病外的第二大常见疾病。其实该疾病在人、犬等牙科也有发现,但家猫的发病率远远高于其他哺乳动物,高达20% -75%[1, 10]。家猫的牙吸收概率在1960s后观察到明显的上升,故猜测这种上升的趋势可能与人为驯化有关。总体统计流行率波动范围较大的原因如下:
①口腔检测手段不同(临床观察/麻醉X光牙科片)
②检测对象猫口组成不同(有牙科病史猫/临床观察健康猫/老年猫/随机抽取…)
两项针对临床观察健康猫的研究(样本量分别为n=228和109,临床观察+影像学检查)显示,家猫牙吸收的平均发病率约为30%[11, 12]. 多项牙吸收发病率研究中发现,下颌前臼齿是最易受影响的,且大多数情况呈对称性吸收,尤其是307/407[5, 7]。另外,有一项研究表明,至少有一颗牙齿出现吸收的猫,其所有牙齿都呈现出可能开始吸收的组织学证据,这一发现导致了一个假设:即如果有充足的时间,已受牙吸收影响的猫所有牙齿都会发生吸收[1]
2.2.2可能的风险因子
牙吸收很少发生于<2岁的猫,多数猫在4-6岁阶段发现牙吸收损伤。据一些研究报道,牙吸收在以下猫群体中可能更普遍[1, 5]:
●具有其他牙科疾病(如牙龈炎或牙周炎)
●不刷牙
●完全的室内猫
●服用药物
●很少玩玩具
●吞咽而非慢慢咀嚼/食物质地硬
● 吃剩菜剩饭,黄油芝士
●吃生肝饮食和低钙饮食
● 年龄较大
● 母猫
● 某些品种倾向(阿比西尼亚,暹罗,俄罗斯蓝,苏格兰折耳和波斯—存在样本量偏低和统计学上差异不大的问题)
● 饮用市政水而非地下水如井水
注意以上列举为统计意义上的风险因子,并非确定的致病因子,且部分存在争议
2.3 临床症状
大多数牙吸收病例的临床症状其实并不明显,尤其是吸收发生在龈下区域时。当牙吸收沿着牙根表面发展并侵蚀附着牙龈及冠状部份时,病变损伤部位将暴露于富含各类细菌的口腔环境中,从而可能导致周围软组织的疼痛和炎症反应[1, 13]。
当吸收性损伤暴露于口腔时,家长可能会观察到以下症状:
唾液分泌过多,流涎
口臭
牙龈流血,牙齿表面出现肉芽组织(看起来好像牙龈长在牙齿上如图六)
甩头
打喷嚏
难以衔住食物(经常掉落)/厌食/不愿意吃硬质食物
揉脸
…
![【科普】[养猫笔记05-医疗] 猫牙破齿细胞吸收性损伤(FORL)— 猫第二大常见疾病 - 线报酷 【科普】[养猫笔记05-医疗] 猫牙破齿细胞吸收性损伤(FORL)— 猫第二大常见疾病 - 线报酷](https://new.xianbao.fun/plus/api/image.php?imgurl=https://img2.doubanio.com/view/group_topic/m/public/p645119722.jpg)
图6 (a)臼齿牙吸收 (b)犬齿吸收[1]
3.猫牙吸收的病因及病理发现
3.1 猫牙吸收的病因
尽管人个别牙齿发生吸收的多种原因已得到研究证实,家猫牙吸收的病因尚不清晰,特别是其极高的发病率和影响多颗恒牙的特点仍属于未解之谜。此处仅阐述阶段性的研究工作和假设[1, 5]。
①炎症变化
牙菌斑是牙龈炎和牙周病的诱因。牙齿表面附着牙菌斑产生的细菌产物可刺激破骨细胞的活性增加。其中一种革兰氏阴性细菌产物—脂多糖类(Lipopolydsaccharide,LPS),一直被认为是牙周骨丢失的关键因素。LPS直接或间接通过炎症因子的分泌如IL-6,IL-1,TNF-α诱导破骨细胞激活。同时,牙菌斑其他细菌产物引起的不同免疫反应也有可能导致吸收增加。此外,对食物中某些成分过敏会形成炎症反应从而可能诱使破骨细胞激活[5]。
②病毒因素
感染FIV,FHV,FCV的猫患有牙吸收的概率可能会增加,但现有的工作存在样本量小,结论不统一等问题[13]
③饮食营养因素
●维生素D:
与人不同,猫无法通过光照在体内合成维生素D,只能从食物中摄取以满足身体需求。维生素D过量会导致肠道钙磷吸收增加,骨吸收增加以及软组织矿化。一项研究发现,牙吸收患病猫体内维生素D代谢物(25-羟基维生素D)的血清浓度高于健康猫(尽管仍在正常参考范围内)。而市面上部分商业猫食的VD含量高于添加标准允许的最大值,因此,他们认为,慢性维生素D摄入过量与牙吸收有关[14]。然而,另外两项研究的结果并不支持这一假设:zhang et al.的工作表明患有牙吸收的猫和健康猫的血清25OHD浓度并无统计学意义上的显著差异[15];Girard et al.则发现25OHD血清浓度更低的猫牙吸收发病率更高[16]。因此,维生素D是否和如何参与牙吸收病理过程存在争议,仍需进一步研究。
●维生素A:破骨细胞的刺激剂,因此被认为可能在牙吸收致病中发挥一定的作用。由于猫无法通过形成视黄酯来排泄过量的维A,故其对维生素A的毒性较为敏感。维生素A过多症可诱发骨骼病变和牙齿脱落,但目前还未发现维A中毒的猫牙吸收增加的案例[5]
④化学和机械性因素
●化学因素:口腔环境pH改变(主要指降低)可能与牙吸收有关。在猫破骨细胞培养中,酸中毒(pH 6.92)可使骨吸收显著增加。对人的研究上,酸性的食物/液体以及反流/呕吐导致的胃液上涌都可对牙齿的牙骨质牙釉质交界处造成侵蚀。对于猫,市售的很多猫粮通过酸化来增加适口性或者预防尿结石形成,猫因毛球等导致的反流/呕吐也会导致胃液倒流,使得口腔微环境酸化。不过食物pH和呕吐与猫牙吸收的相关性尚未通过研究证实[1, 5]。
●机械性因素:机械性损伤可能是导致牙吸收的原因之一。当猫长期食用质地坚硬且颗粒较大的食物时,所造成的过度磨损和慢性咬合创伤可能有助于牙吸收的发生[5]
3.2 组织病理学
20世纪末和21世纪的大量有关研究表明,牙吸收可在牙根表面的任何区域发展,并非只是局限于牙骨质牙釉质交界处(CEJ)附近[13]。破齿细胞被激活后从牙周韧带或牙槽骨的血管中向牙根表面迁移,并于此吸收牙骨质、牙本质,在牙齿硬组织上形成裂隙,槽,坑等。
一项研究对患有牙吸收(TR)猫的其他健康牙齿(通过临床和x光片确认)进行评估发现,这些牙齿表现出牙周韧带充血、水肿和退化(胶原纤维束排列异常),牙槽骨表面骨样物质增加,牙根表面牙骨质过度形成,牙周韧带间隙变窄,牙齿和牙槽骨出现强直融合区域等,以上组织病理学发现或许可说明大部分猫牙吸收一开始是非炎症性的,而牙周韧带结构的改变可能代表猫牙吸收的临床前期阶段[17]。
从牙槽骨深处的牙根表面开始的牙吸收是一个渐进式的非炎症过程。在这个过程中,牙周韧带和牙根会逐渐被骨样组织取代。当吸收在CEJ附近发生并向牙冠牙本质发展时,牙釉质可能会受损,随后被吸收或由于与原本完整的牙本质失去连接而断裂(牙釉质很少作为发生吸收的初始位点)。牙龈边缘附近牙本质和牙釉质的丢失导致吸收损伤暴露于富含细菌的口腔环境中,周围组织发生炎症反应形成发炎且富含血管的肉芽组织,参与促进吸收进程的发展。炎性吸收过程包含一个急性吸收期和慢性修复期;在吸收期,破齿细胞在牙本质中产生吸收性裂隙;在修复期,类成骨细胞和成牙骨质细胞合成新的硬组织覆盖于受损的牙本质上。急性期和慢性期可共存于同一处损伤区域,此时破坏和修复同时发生[1, 13]。
4.猫牙吸收的分类与分期
4.1 猫牙吸收的分类—依据解剖位置(内吸收和外吸收)
4.1.1 内吸收(Internal resorption)
内吸收由慢性不可逆转的牙髓炎和牙髓腔内小区域的坏死引起,通常偶见于猫。受内吸收影响的牙齿可能因发炎的牙髓呈现轻微的粉色。在影像学上,内吸收表现为与牙髓相邻的离散椭圆形扩大,一般位于根管顶端的1/3处,如图所示,可通过拔牙或根管治疗阻止吸收继续发生[1]。
![【科普】[养猫笔记05-医疗] 猫牙破齿细胞吸收性损伤(FORL)— 猫第二大常见疾病 - 线报酷 【科普】[养猫笔记05-医疗] 猫牙破齿细胞吸收性损伤(FORL)— 猫第二大常见疾病 - 线报酷](https://new.xianbao.fun/plus/api/image.php?imgurl=https://img2.doubanio.com/view/group_topic/m/public/p645120142.jpg)
图7 犬齿内吸收[1]
4.1.2 外吸收(External resorption)
外吸收可具体分为牙根颈部表面外吸收,炎症性和非炎性的替代性吸收。
(1)牙根颈部表面外吸收(External cervical root surface resorption)
表面吸收继发于有相对轻微创伤(咀嚼磨损)的牙骨质处。受损位点促进破骨细胞激活因子的释放,使得破骨细胞开始吸收受损区域的牙骨质。牙根吸收可在其表面的任何位置发生并逐渐的发展至牙根顶端或者牙冠。当吸收停止后,牙周韧带处的细胞增殖并占据吸收区域,从而使修复组织沉积至牙根表面。表面吸收通常是自限性和可逆转的,在影像学上,该类型吸收的特征表现为影响牙骨质完整性的浅空缺,如图8(a)所示[1, 13]。
![【科普】[养猫笔记05-医疗] 猫牙破齿细胞吸收性损伤(FORL)— 猫第二大常见疾病 - 线报酷 【科普】[养猫笔记05-医疗] 猫牙破齿细胞吸收性损伤(FORL)— 猫第二大常见疾病 - 线报酷](https://new.xianbao.fun/plus/api/image.php?imgurl=https://img2.doubanio.com/view/group_topic/m/public/p645120195.jpg)
图8 (a)犬齿表面吸收(b)前臼齿分叉处炎性吸收(c)犬齿替代性吸收(犬齿牙根被周围牙槽骨代替,已无法辨认牙周韧带等[1]
(2)炎症性吸收(External inflammatory resorption)
炎症性吸收始于牙周韧带顶端的牙骨质牙釉质交界及牙根分叉处,如图8(b)所示,病因未知,目前假设其继发于牙周病变。在炎性牙吸收的早期阶段,破齿细胞吸收并破坏牙釉质和牙骨质,最终使其断裂。随着吸收进程发展,损伤蔓延至更深的区域并导致更多的牙齿硬组织丢失。对于发生在牙骨质牙釉质交界处且向牙冠方向侵蚀的吸收,牙本质和附着牙龈附近牙釉质的丢失将会使损伤暴露于口腔环境,随后周围组织发炎,引起敏感增加和疼痛等反应。注意,毗邻发生炎性吸收牙齿的牙槽骨也可能会受到吸收损伤[1]。
(3)非炎症的替代性吸收(External noninflammatory replacement resorption)
非炎性替代吸收是猫牙吸收最常见的类型,病因尚不清晰。当牙根开始与牙槽骨融合时,整个牙齿成为牙槽骨重构过程的一部分并最终被吸收,在X光片上表现牙周韧带、硬骨板局部或基本消失,牙齿活动能力下降,这个过程可能持续数年(如图8(c))。该过程可视为一种形式的愈合:骨骼已经接受了牙齿硬组织作为自身的一部分,牙齿开始参与骨骼正常的更新过程。当吸收过程结束后,成骨细胞在损伤区域形成骨样组织,牙齿硬组织将逐渐被骨骼所取代。与炎症性吸收不同,毗邻牙槽骨不会被吸收
牙髓在受替代性吸收影响的牙齿中可能是正常的。一般只有在较为晚期的病例中才会发现吸收发展至根管或者髓腔内部,使得牙髓逐渐被新形成的骨骼替代。替代性吸收所造成的损伤只要“密封”在龈下通常被认为是无症状且无痛的,当暴露于口腔环境时,细菌可侵入牙髓引起炎症反应[1]。
★牙根外吸收的分期—依据牙齿组织的受累程度[1,13,18]
牙根外吸收程度示意图如下:
![【科普】[养猫笔记05-医疗] 猫牙破齿细胞吸收性损伤(FORL)— 猫第二大常见疾病 - 线报酷 【科普】[养猫笔记05-医疗] 猫牙破齿细胞吸收性损伤(FORL)— 猫第二大常见疾病 - 线报酷](https://new.xianbao.fun/plus/api/image.php?imgurl=https://img2.doubanio.com/view/group_topic/m/public/p645120277.jpg)
图9(a)Stage1(b)Stage 2 (c)Stage 3 (d-f)Stage 4 (g)Stage 5 [18]
Stage 1(TR1): 轻度的牙齿硬组织丢失(牙骨质或牙骨质+牙釉质)- 图9(a)
Stage 2(TR2): 中度的牙齿硬组织丢失(牙骨质或牙骨质+牙釉质+牙本质,未蔓延至牙髓)- 图9(b)
Stage3(TR3): 重度牙齿硬组织丢失(牙骨质或牙骨质+牙釉质+牙本质,已影响牙髓腔);牙齿整体结构大部份保持完整 - 图9(c)
Stage4(TR4): 牙齿硬组织大范围丢失(牙骨质或牙骨质+牙釉质+牙本质,已影响牙髓腔);牙齿结构失去其完整性 - 图9(e)-(f)
TR4a: 牙冠和牙根同等的受影响
TR4b:牙冠比牙根受损更严重
TR4c:牙根受损比牙冠严重
Stage 5(TR5):牙龈完全覆盖原牙齿区域,在影像学上牙齿硬组织残留物仅可见为不规则的不透射线 - 图9(g)
4.2 猫牙吸收的类型 — 依据X光片特点
口腔内X光牙科片在诊断和确定治疗计划上起着重要作用。根据在影像学上表现出的特点,牙吸收可分为三种类型如下(图10)[1, 18]:
![【科普】[养猫笔记05-医疗] 猫牙破齿细胞吸收性损伤(FORL)— 猫第二大常见疾病 - 线报酷 【科普】[养猫笔记05-医疗] 猫牙破齿细胞吸收性损伤(FORL)— 猫第二大常见疾病 - 线报酷](https://new.xianbao.fun/plus/api/image.php?imgurl=https://img2.doubanio.com/view/group_topic/m/public/p645120490.jpg)
图*10(a)1型牙吸收(b)2型牙吸收(c)3型牙吸收[18]
Type1(T1): 对于具有1型吸收牙齿的X射线照片,该牙齿呈现局灶性or多灶性射线可透过性,其他部分则保持正常的射线不透性及正常的牙周韧带结构 - 图10(a)+图11
![【科普】[养猫笔记05-医疗] 猫牙破齿细胞吸收性损伤(FORL)— 猫第二大常见疾病 - 线报酷 【科普】[养猫笔记05-医疗] 猫牙破齿细胞吸收性损伤(FORL)— 猫第二大常见疾病 - 线报酷](https://new.xianbao.fun/plus/api/image.php?imgurl=https://img2.doubanio.com/view/group_topic/m/public/p645120587.jpg)
图11 上颌犬齿1型牙吸收[1]
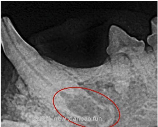
Type2(T2): 对于具有2型吸收的牙齿,牙周韧带间隙至少在某些区域变窄或者消失,部分牙齿的射线不透性降低 - 图10(b)+图12
![【科普】[养猫笔记05-医疗] 猫牙破齿细胞吸收性损伤(FORL)— 猫第二大常见疾病 - 线报酷 【科普】[养猫笔记05-医疗] 猫牙破齿细胞吸收性损伤(FORL)— 猫第二大常见疾病 - 线报酷](https://new.xianbao.fun/plus/api/image.php?imgurl=https://img2.doubanio.com/view/group_topic/m/public/p645120642.jpg)
图12 下颌前臼齿2型吸收[1]
Type3(T3): 3型吸收的牙齿在同一颗牙上具有1型和2型的特点,即受影响的牙齿既存在牙周韧带间隙的狭窄/丢失,也同时存在局灶性or多灶性射线可透过性和牙齿其他区域射线不透性降低 - 图10(c)+图13
![【科普】[养猫笔记05-医疗] 猫牙破齿细胞吸收性损伤(FORL)— 猫第二大常见疾病 - 线报酷 【科普】[养猫笔记05-医疗] 猫牙破齿细胞吸收性损伤(FORL)— 猫第二大常见疾病 - 线报酷](https://new.xianbao.fun/plus/api/image.php?imgurl=https://img2.doubanio.com/view/group_topic/m/public/p645120736.jpg)
图13 前臼齿3型牙吸收(同一颗牙上同时具有1和2型吸收的特点)[1]
5.牙吸收的诊断与治疗
5.1诊断手段
●目视检查
●麻醉后使用牙科探针检查
●口腔内X光牙科片
临床目视检查和使用牙科探针接触性检查均只能辨别晚期吸收损伤(即当吸收蔓延至牙冠)。全口X光牙科片则能够发现位于龈下深处牙根表面的损伤,确定吸收类型和发展程度,从而决定最优的治疗手段[7]
5.2牙吸收的治疗[1, 7, 13]
依据牙吸收的类型和严重程度,治疗方法主要分为以下三种(也有尝试通过药物等其他手段治疗的,但效果并不理想,安全性和副作用还存疑,感兴趣可自己搜索不赘述):
(1)保守观察监控
对于无症状的牙吸收-即损伤限于牙根未暴露于口腔没有明显的疼痛反应时,可选择至少每六个月一次的临床和影像学监测作为立即拔牙的替代方法。如果在复诊检查中发现病变牙齿已暴露于口腔环境,出现疼痛发炎等症状,则需要拔牙
(说是这么说,但是半年一次麻醉风险也太大了,个人觉得主要还是以家庭观察为主吧,刷牙的时候看看有无疼痛反应,有无红肿发炎出血流涎等等,进食玩耍精神是否正常,影响日常快乐生活了再去拍片拔掉)
(2)拔牙
拔牙是目前治疗牙吸收(特别是1型牙吸收)的金标准。受牙吸收影响的牙由于牙根受损甚至破碎,拔除难度更大。因此,除了拔前需要通过X光片查探损伤情况,拔牙后也一定通过牙科片确认整颗牙齿已被完全去除
(术后带回家几天发炎流脓,一照发现牙根残留的病例不在少数,一定要询问医生有无拍牙片确认拔干净了,不然又要二次麻醉重拔受罪了)
(3)截冠
对于2型替代性吸收,牙齿的牙周韧带,牙本质和牙髓等均被骨样组织取代。对于吸收已暴露于口腔的情况,有意的保留部分牙根截除牙冠,随后封闭牙龈是一种治疗方法,此时牙根已几乎被全部吸收很难拔除所有的牙齿组织。该治疗手段必须在术前通过影像学确认不可能拔除整个牙根(即牙根射线不透性显著降低,牙周韧带间隙消失)后方可操作。当医疗条件有限无法进行口腔内X光射线检查时,不可尝试截冠手术。
另外,需要注意,1型牙吸收或患者存在严重牙周疾病(牙槽骨丢失),牙髓疾病,慢性口炎,以及FeLV和FIV阳性时不可采取该治疗手段
碎碎念:
牙吸收除了早期隐蔽难发现以外,最麻烦的是它通常不只一颗发病的特点,看过好多拔了已经吸收一两颗,结果一年不到又发现别的开始作妖,又拔,过半年又来了,花费都是小事,主要是每年麻醉猫这么个小东西真遭不住,更别说医生水平参差不齐,没拔干净/麻醉监护不足导致术后肺水肿肾衰的太多了。但你要说一下子拔掉半口全口,又觉得把好牙拔了变成猫奶奶怪难接受的万一它幸运的没病变呢(虽然说猫不用牙也能吃能喝,哎这到底拔不拔,拔多少颗就挺纠结的
Reference
[1] Bellows, Jan.Feline Dentistry. John Wiley & Sons, 2022, p1-27.
[2] Heidi B. Lobprise and Johnathon R.Wiggs’s Veterinary Dentistry: Principles and Practice, Second Edition.John Wiley & Sons.2019, p1-252.
[3] Reiter, et al. APPLIED FELINE ORAL ANATOMY AND TOOTH EXTRACTION TECHNIQUES An illustrated guide.Journal of Feline Medicine and Surgery.2014, 16, 900-913.
[4]Tooth numbering in other species. Available at: rvc.ac.uk/review/dentistry/basics/triadan/other.. Accessed Mar 1, 2024.
[5]Booij-Vrieling HE. Tooth resorption in cats: contribution of vitamin D and inflammation. PhD thesis, Utrecht University, The Netherlands.
[6]Hopewell-Smith.Theprocessofosteolysisandodontolysis,orso-called‘‘absorption’’of calcified tissues: a new and original investigation. Dental Cosmos 1930, 72, 1036–1048.
[7]Gorrel. TOOTH RESORPTION IN CATS Pathophysiology and treatment options.Journal of Feline Medicine and Surgery.2015, 17, 37–43.
[8]Reiter et al. Update on the Etiology of Tooth Resorption in Domestic Cats. Vet Clin Small Anim .2005, 35, 913–942.
[9]Elson, et al. The origins and formation of bone-resorbing osteoclasts.Bone.2014, 116538.
[10]Thomas et al. Microbiome analysis of feline odontoclastic resorptive lesion (FORL) and feline oral health. Journal of Medical Microbiology. 2021,70, 001353.
[11]Ingham, Gorrel,et al. Prevalence of odontoclastic resorptive lesions in a population of clinically healthy cats. J Small Anim Pract .2001,42, 439 - 443.
[12]Girard, Servet, et al. Feline dental resorptions in a colony of 109 cats. J Vet Dent .2008, 25,166 - 174.
[13]Heidi B. Lobprise and Johnathon R.Wiggs’s Veterinary Dentistry: Principles and Practice, Second Edition.John Wiley & Sons.2019, p439-461.
[14]Reiter, Lyon, et al. Evaluation of calciotropic hormones in cats with odontoclastic resorptive lesions. Am J Vet Res.2005, 66, 1446 - 1452.
[15]Zhang, Cupp, Kerr W. Vitamin D status in cats with and without feline odontoclastic resorptive lesions. Comp Contin Educ Pract Vet.2006, 28, 77.
[16]Girard, Hennet, Biourge. Tooth Resorption and Vitamin D3 Status in Cats Fed Premium Dry Diets. J VET DENT.2010, 27, 142-147.
[17]Gorrel, Larsson. Feline odontoclastic resorptive lesions: unveiling the early lesion. J. Small Anim. Pract. 2002, 43, 482–488.
[18]Tooth Resorption.Available at: avdc.org/avdc-nomenclature. Accessed Mar 20, 2024.

dd
dd
谢谢医生。dd
医生您好,我家猫之前做过一次激光拔掉了两颗牙齿,但是我看它牙龈又增生了,是不是真的只有全口拔牙了。我现在是每天用可鲁喷口腔,手指头沾牙膏给它在牙齿上蹭蹭。(我已经在找新的医院想听听不同医生的意见。)
dd
dd
dd好帖
医生您好,我家猫之前做过一次激光拔掉了两颗牙齿,但是我看它牙龈又增生了,是不是真的只有全口拔牙了。我现在是每天用可鲁喷口腔,手指头沾牙膏给它在牙齿上蹭蹭。(我已经在找新的医院想听听不同医生的意见。)
杯状引起的口炎?(开头有写不是医生,普通家长😹
杯状引起的口炎?(开头有写不是医生,普通家长😹
私密马赛普通家长酱,我一到晚上看字老漏。没做过杯状检测但是拍过牙片。
私密马赛普通家长酱,我一到晚上看字老漏。没做过杯状检测但是拍过牙片。
如果是口炎且经常复发比较严重的话,全口拔+激光属于比较常规的治疗方案,当然哪怕是全口拔也是有复发概率的,后期还可能要用药。如果已知杯状引起的口炎,通常早期用药是病毒抑制剂,中期病毒抑制+抗菌,再久一点就要上免疫抑制也就是激素,因为杯状口炎后期是病毒,细菌,自身过度免疫共同参与的。当然前提是你这个确实是口炎,而不是别的什么,不太清楚具体情况,还是找个靠谱的牙专科医生比较好
可能的病因和我问医生说的一模一样🤣我家小猫中了好几条,然后拔了右边三颗,犬齿看牙片是初期就还没拔
如果是口炎且经常复发比较严重的话,全口拔+激光属于比较常规的治疗方案,当然哪怕是全口拔也是有复发概率的,后期还可能要用药。如果已知杯状引起的口炎,通常早期用药是病毒抑制剂,中期病毒抑制+抗菌,再久一点就要上免疫抑制也就是激素,因为杯状口炎后期是病毒,细菌,自身过度免疫共同参与的。当然前提是你这个确实是口炎,而不是别的什么,不太清楚具体情况,还是找个靠谱的牙专科医生比较好
谢谢你,医生没有明确的跟我说是什么类型的口炎,我周末带它去别的医院看看。谢谢回复。
干货dd
dd
dd
科研人员就是神啊!我家猫409后部已经有红色和刷牙流血,八岁。但没有流口水吃饭生活正常,打算试试碘甘油消炎,但估计希望不大。但去拔牙现在又觉得不到时候,每天刷牙观察中。
dd